|
УДК 619:615.285 DOI 10.33861/2071-8020-2025-6-23-25 Оригинальное эмпирическое исследование Семикрасова А.Н., Жилина К.В. Федеральное государственное бюджетное научное учреждение «Научноисследовательский институт пушного звероводства и кролиководства имени В. А. Афанасьева», Московская область, Раменский район, пос. Родники Аннотация. Эндометриты у лисиц являются распространенным заболеванием, приводящим к пропустованию самок, бесплодию и значительным экономическим потерям в звероводстве. Диагностика при жизни затруднена, что обуславливает актуальность исследования посмертных патологических изменений. Целью стало изучение патологоанатомических и гистологических изменений репродуктивных органов у пропустовавших самок лисиц для выявления причин бесплодия. Материалы и методы. Исследование проведено на 50 самках лисиц, не принесших приплод, после весеннего забоя. Проведен патологоанатомический осмотр, морфометрия, гистологическое (окраска гематоксилин-эозином) и микробиологическое исследование матки и яичников. Результаты. При анализе щенения 2000 самок установлен высокий уровень пропустования (94%). При вскрытии выявлены макроскопические изменения: утолщение рогов матки, в том числе с гнойным содержимым, локальные шаровидные образования, бугристость яичников. Гистологически подтверждены эндометриты, кистозная гиперплазия эндометрия, кальцификация, а также воспалительные изменения в яичниках (оофорит). В 6% случаев эндометрит сочетался с цервицитом. Заключение. Полученные данные свидетельствуют, что воспалительные и кистозно-гиперпластические процессы в эндометрии и яичниках являются ключевой патологоанатомической основой бесплодия и пропустования у лисиц. Результаты подчеркивают необходимость разработки прижизненных методов диагностики эндометрита. Ключевые слова: лисица, эндометрит, пропустование, гистология, патологоанатомические изменения, кистозная гиперплазия эндометрия, репродуктивные органы. Акушерско-гинекологические заболевания, возникающие в различные периоды онтогенеза, являются одной из причин, тормозящих развитие звероводства. Различные литературные источники сообщают, что в условиях шедового содержания у лисиц встречается пропустование самок. Причина пропустования до конца не установлена. Нередко возникают проблемы, препятствующие полной реализации генетического потенциала продуктивности этих пушных зверей. Наиболее распространенным заболеванием половых путей лисиц являются эндометриты. В настоящее время без приплода остается в среднем 13% самок лисиц. Ряд авторов указывают, что эндометриты могут быть причиной бесплодия [1, 3, 7]. Эндометриты – воспаление слизистой оболочки матки с поражением как функционального, так и базального слоя, а иногда и мышечного слоя матки. Важную роль в развитии эндометрита играет снижение общей резистентности организма и осложнение вагинита или цер-вицита. По течению болезни различают острый, подострый и хронический эндометриты. По характеру воспалительного процесса серозный, фиброзный, катаральный, гнойно-катаральный и гнойный. Однако, несмотря на распространенность эндометритов, достоверные клинические критерии для диагностики не разработаны в пушном звероводстве. Постановка диагноза «эндометрит» затруднена. Трудности диагностики и лечения эндометритов, летальность при тяжелом течении болезни, частота рецидивов и осложнения (перитонит, бесплодие) обуславливают актуальность этой проблемы в современной ветеринарии [2, 4, 5]. Эндометрит приносит большой экономический ущерб, в связи с гибелью самок и отсутствием потомства у больных животных. Материалы и методы исследований. Работа выполнена в отделе биотехнологии ФГБНУ НИИПЗК, а также зверохозяйствах Российской Федерации. У самок лисиц проведен анализ щенения. В данном хозяйстве в период весеннего убоя было забито 50 пропустовавших самок. Выполнено гистологическое исследование репродуктивных органов лисиц. Органы от больных самок фиксировали в 10% растворе нейтрального формалина. Гистологические исследования были проведены в ФГБНУ НИИПЗК и ВИЭВ. Метод гистотехники: парафиновая заливка, окраска гематоксилин эозином, толщина среза 5 микрон. Материалом для исследования служили матки от лисиц, не принёсших приплод. Для микробиологического исследования использовали посевы на селективные и элективные среды, прибор Micro tax. Результаты исследований и их обсуждение. При анализе щенения 2 000 самок лисиц, благополучно ощенились 120 самок. Таким образом установлено, что 94% самок пропустовало. Самки были искусственно осеменены дважды с однодневным интервалом. Часть самок проявляли признаки беременности на ранней стадии, а потом оказались пропустовавшими. Органы размножения этих самок были произвольно отобраны для дальнейшего более подробного исследования. При патологоанатомическом исследовании проведена оценка состояния половых органов (влагалища, яичников, матки), содержимого матки, а также яичников. Было установлено утолщение рогов матки, наблюдались локальные утолщения шаровидной формы, при вскрытии которых наблюдалось содержимое в виде густой, коричневой массы. Макроскопические исследования яичников имели бугристую поверхность с наличием желтого тела и фолликулов (рисунок 1).
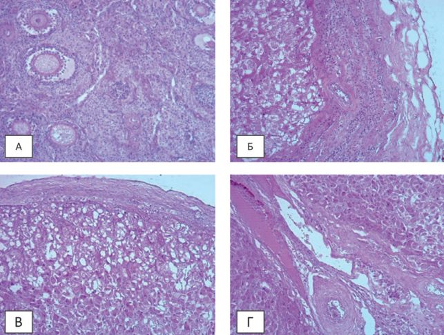
Рис. 1. Яичник с фолликулами  Рис. 2. Локальные участки шаровидного образования в рогах маток Исследования внутренних репродуктивных органов (яичников и матки) лисиц проводились в период весеннего забоя. Были установлены утолщения рогов матки, некоторые с гнойным содержимым; на некоторых рогах матки отмечались шаровидные образования (рисунок 2). При разрезе этих новообразований обнаруживали густую коричневую массу. Макроскопически яичники имели бугристую поверхность с признаками наличия желтого тела и фолликулов. При гистологическом исследовании установлено кровенаполнение вен миометрия. Миометрий в состоянии резкой компрессии, заметны массивные некрозы клеток и тотальное отхождение эндометрия в просвет. В строме шейки матки визуализируется слабая лимфоидно-клеточная инфильтрация, просвет шейки матки расширен, эпителий с признаками вакуолизации цитоплазмы. В просвете рога матки, в данном участке, предположительно, заметны клетки трофобласта, однако их дифференцировка значительно затруднена (рисунок 3). В участках рога матки без расширения, ближе к описываемому выше участку визуализируется массивный пласт, в просвете, состоящий из десквамированного цилиндрического эпителия слизистой оболочки матки, некротических масс и оксифильного вещества. Чуть дистальнее, заметна массивная десквамация эпителиального слоя в просвет матки, железы эндометрия здесь расширены, с обильным секретом (рисунок 4). В корковом слое яичника выявлены фолликулы на разной стадии развития, и обильная инфильтрация стромы яичника лимфоцитами, единично – атрети-ческие тела. В препарате выявлено два массивных жёлтых тела с тенденцией к васкуляризации лютеоцитов. Просвет шейки матки расширен, содержит оксифильный экссудат, эпителий с признаками вакуолизации (рисунок 5). Частота встречаемости эндометритов у лисиц представлена в таблице 1. Таблица 1 Частота встречаемости эндометрита у лисиц | эндометрит | 1 | 2% | | эндометрит и цервицит | 3 | 6% | | железисто-кистозная гиперплазия эндометрия, эндометрит и оофорит | 4 | 8% |
Рис. 3. Гистологические срезы: а – поперечный и продольный слои миометрия; б, в – резкое расширение желёз эндометрия; г – просвет рога матки с некротическими массами (гематоксилин и эозин, х100)  Рис. 4. Гистологические срезы эндометрия (гематоксилин и эозин, х100)  Рис. 5. Гистологические срезы: а – корковое вещество яичника с воспалением стромы; б – корковое вещество яичника с воспалением стромы; в – жёлтое тело с вакуляризацией цитоплазмы лютеоцитов, в краевых отделах; г – два жёлтых тела с соединительнотканной перегородкой (гематоксилин и эозин, х100) Заключение. По результатам проведенных исследований установлено, что у лисиц пропустовало 94% самок из 2000. Результаты гистологических исследований репродуктивных органов лисиц указывают на возможные нарушения гормонального фона в их организме. Список литературы: 1. Кочуева Н. А., Бочкарев В. Н., Гарнцева Н. В. Адаптационные процессы в организме плотоядных при остром послеродовом эндометрите. Ветеринарная патология. 2008; (2): 84-88. 2. Слугин В. С. Болезни плотоядных пушных зверей и их этиологическая связь с патологией других животных и человека. КОГУП «Кировская областная типография». 2004: 592 с. 3. Чекалова Т. М., Матвеева С. В. Анализ воспроизводительной способности стада Вятских красных лисиц «огневок». МГАВМиБ им. К.И. Скрябина. 2001: 266-267. 4. Емельянова Н. С. Эндометриты домашних плотоядных. 2007: 22 с. 5. Владимиров А. В., Еремина Т. С., Семикрасова А. Н., Писаренко Н. А. Система гинекологической диспансеризации песцов и лисиц. Российский ветеринарный журнал. 2007: 45. 6. Меркулов Г. А. Курс патолого-гистологической техники. Медицина. 1969: 422 с. 7. Sorum H. et al. An Outbreak of Septic Endometritis in the Arctic Blue Fox (Alopex Lagopus) caused by Clostridium Carnis. Acta vet. scand. 1988; (29): 181-191. Сведения об авторах: Жилина Ксения Владимировна, ветеринарный врач лаборатории экспериментального кролиководства ФГБНУ «Научно-исследовательский институт пушного звероводства и кролиководства имени В.А. Афанасьева»; 140143, Московская область, Раменский район, пос. Родники, ул. Трудовая, 6; e-mail: niipzk@mail.ru. Ответственный за переписку с редакцией: Семикрасова Алла Николаевна, кандидат биологических наук, научный консультант ФГБНУ «Научно-исследовательский институт пушного звероводства и кролиководства имени В.А. Афанасьева»; 140143, Московская область, Раменский район, пос. Родники, ул. Трудовая, 6; тел.: 8-496-4648681; e-mail: niipzk@mail.ru. Заявленный вклад авторов: рукопись была написана благодаря вкладу всех авторов. Все авторы одобрили окончательную версию рукописи. Конфликт интересов: авторы заявляют об отсутствии конфликта интересов.
|