|
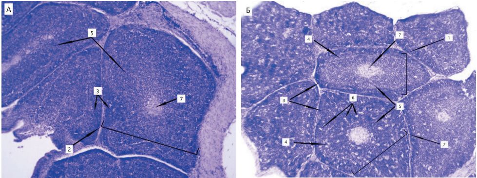
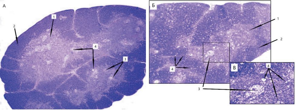
УДК: 616.98:578.826.1-091.8:636.592 DOI 10.33861/2071-8020-2026-1-19-21 Оригинальное эмпирическое исследование Красков Д.А. Федеральное государственное бюджетное образовательное учреждение высшего образования «Санкт-Петербургский государственный университет ветеринарной медицины», г. Санкт-Петербург / Всероссийский научно-исследовательский ветеринарный институт птицеводства – филиал Федерального государственного бюджетного научного учреждения Федеральный научный центр «Всероссийский научноисследовательский и технологический институт птицеводства», г. Санкт-Петербург Сидоренко К.В. Федеральное государственное бюджетное образовательное учреждение высшего образования «Санкт-Петербургский государственный университет ветеринарной медицины», г. Санкт-Петербург. Аннотация. Одной из наиболее часто встречающихся и опасных болезней в индейководстве является геморрагической энтерит индеек (ГЭИ). Это высококонтагиозная, иммунодепрессивная, инфекционная болезнь индеек и фазанов, вызванная ДНК-содержащим вирусом из второй группы птичьих аденовирусов. Для проведения лабораторной диагностики при изучении морфологических изменений, вызванных вирусом ГЭИ, ветеринарным специалистам необходимо обладать современными актуальными знаниями по этой проблеме. К сожалению, в отечественной литературе практически нет современных работ по данной проблематике. Цель исследования: изучение микроскопических изменений в иммунокомпетентных органах индейки при воздействии вируса ГЭИ. Материалы и методы исследований. Материал был отобран от двух групп: группа контрольная и группа, зараженная штаммом вируса ГЭИ «DK-24». Фрагменты органов отбирали на 6 день после заражения, фиксировали в нейтральном 10,0 % формалине, в течение 10-ти суток. Далее органы промывали под проточной водой, а проводку и заливку осуществляли согласно стандартному протоколу. Окрашивали полученные препараты гематоксилином Джилла и 1,0%-ным спиртовым эозином. Микрофотографирование проводили при помощи цифровой камеры Levenhuk M500 BASE Camera на микроскопе Levenhuk MED Series при 40-, 100- и 400-кратном увеличении. Результаты исследований и их обсуждение. Исходя из полученных данных, можно сделать заключение, что основными обнаруженными изменениями являлись многочисленные мелкие очаги бесцветных тканевых структур во всех представленных иммунокомпетентных органах группы заражения. Ключевые слова: геморрагический энтерит индеек, иммунодепрессия, гистологические изменения, иммунокомпетентные органы. Одной из актуальных и наиболее экономически опасных вирусных болезней в Российском индейководстве является геморрагический энтерит индеек (далее, ГЭИ). Это высококонтагиозная, иммунодепрессивная, инфекционная болезнь индеек и фазанов, вызванная ДНК-содержа-щим вирусом из второй группы птичьих аденовирусов (семейство Adenoviridae, род Siadenovirus). Клетками-мишенями этой болезни являются В-лимфоциты. Болезнь характеризуется угнетенным состоянием, диареей с примесью крови в помёте, обезвоживанием, снижением температуры тела различными осложнениями из-за развития вторичной бактериальной флоры [1, 3, 4, 5]. Для ветеринарных специалистов индейководческих предприятий и ветеринарных лабораторий очень важно иметь перед собой актуальные наглядные материалы (атласы, статьи) по макро- и микроскопическим изменениям, которые вызывает вирус ГЭИ. Так как клетками-мишенями являются В-лимфоциты, то соответственно вирус наиболее часто поражает иммунокомпетентные органы (клоакальная сумка, селезенка, тимус) и вызывает в них значительные изменения на макро- и микроскопическом уровне [6, 7]. Именно поэтому целью исследования является изучение микроскопических изменений в иммунокомпетентных органах индейки под влиянием вируса ГЭИ. Материалы и методы исследований. Материалом для гистологического исследования являлись фрагменты клоакальной сумки (бурсы), тимуса и селезёнки, двух групп индеек 35-дневного возраста, (1-я группа – контрольная; 2-я группа – опытная, зараженная штаммом вируса ГЭИ «DK-24», семейства Adenoviridae, рода Siadenovirus №110 (коллекции штаммов-возбудителей особо опасных болезней, используемых в ветеринарии и животноводстве ФГБНУ «ФЦТРБ – ВНИВИ»)). Заражение птицы опытной группы проводили в возрасте 29 дней выпаиванием. Пробы органов отбирали на 6 день после заражения, так как это время является пиком репликации вируса в иммунокомпетентных органах. Фрагменты органов, размером 10,0 мм ? 10,0 мм ? 5,0 мм, были зафиксированы в нейтральном 10%-ном формалине, в течение 10-ти суток. Далее органы промывали под проточной водой, а проводку и заливку осуществляли согласно стандартному протоколу. Срезы, толщиной 3,5 мкм, изготавливали на микротоме РОТ-МИК-2М. Окрашивали полученные препараты гематоксилином Джилла и 1%-ным спиртовым эозином. Микрофотографирование проводили при помощи цифровой камеры Levenhuk M500 BASE Camera на микроскопе Levenhuk MED Series при 40-, 100- и 400-кратном увеличении. Результаты исследований и их обсуждение. При исследовании влияния вируса ГЭИ на организм 35-дневных индеек нельзя не обратить внимание на изменения гистологической картины в иммунокомпетентных органах, реагирующих на появление антигена в первую очередь. Так, в клоакальной сумке (бурсе) индеек группы заражения в лимфоидных фолликулах собственной пластинки слизистой оболочки были отмечены множественные очаги бесцветных тканевых структур, что уже довольно сильно отличается от бурсы индеек группы контроля, где паренхима не имеет указанных изменений (рисунок 1). В центральной области ряда фолликулов обнаруживаются скопления крупных, округлых клеток со светлой хромофобной цитоплазмой и крупным светлым ядром, как в контрольной, так и в опытной группе. Также, во многих фолликулах плохо дифференцируется корковое и мозговое вещество.  Рис. 1. Фрагмент клоакальной сумки индейки 35-дневного возраста, контрольной (А) и опытной группы (Б) (окраска гематоксилином Джилла 20 и 1%-ным спиртовым эозином, увеличение ?40): 1 – фолликул с хорошо дифференцируемым корковым и мозговым веществом; 2 – фолликул с равномерным распределением лимфоидной ткани; 3 – корковое вещество; 4 – базальная мембрана; 5 – мозговое вещество; 6 – множественные очаги бесцветных тканевых структур; 7 – скопление светлых округлых клеток в мозговом веществе фолликула. Следует заметить, что в тех фолликулах бурсы, взятой от группы заражения, где лимфоциты равномерно распределены как в корковом, так и мозговом веществе, очаги бесцветных тканевых структур обнаруживаются чаще. При рассмотрении препаратов тимуса опытной группы, мы можем наблюдать схожую гистологическую картину. Множественные светлые очаги бесцветных тканевых структур, лучше заметные в корковом веществе дольки тимуса, расположены практически по всей паренхиме указанного органа, что довольно сильно отличается от контрольной группы, где лимфоидная паренхима распределена равномерно, в рамках особенностей строения коркового и мозгового вещества (рисунок 2). Отдельно стоит упомянуть характерную слабо развитую дольчатость органа и редко визуализирующиеся тельца Гассаля в группе заражения.  Рис. 2. Фрагмент тимуса индейки 35-ти дневного возраста, контрольной (А) и опытной группы (Б и В), окраска гематоксилином Джилла и 1%-ным спиртовым эозином (А и Б – увеличение ?40, В – увеличение ?400): 1 – мозговое вещество дольки; 2 – корковое вещество дольки; 3 – тельце Гассаля; 4 – множественные очаги бесцветных тканевых структур. При исследовании гистологического препарата селезёнки опытной группы было установлено, что лимфоидные клетки белой пульпы расположены хаотично, вблизи артерий. Согласно данным, формирование фолликулов завершается к 30-дневному возрасту [2]. Однако, как видно на рисунке 3, лимфоциты не формируют классические фолликулы, а расположены преимущественно в виде тяжей. Также можно наблюдать различия в объемах красной и белой пульпы в контрольной и опытной группе, где в последней видна явная гиперплазия зоны белой пульпы. Красная пульпа представлена гораздо меньшим объёмом по сравнению с белой, и в ней выявляются очаги бесцветных тканевых структур, которые встречаются также в других органах иммуногенеза. При этом, как видно на рисунке 3 Б, в белой пульпе эти очаги обнаруживаются реже.  Рис. 3. Фрагмент селезёнки индейки 35-дневного возраста, контрольной (А) и опытной группы (Б), окраска гематоксилином Джилла и 1%-ным спиртовым эозином (увеличение ?40): 1 – Т-зависимая зона белой пульпы; 2 – В-зависимая зона белой пульпы; 3 – красная пульпа; 4 – артерия; 5 – очаги бесцветных тканевых структур в красной пульпе; 6 – очаги бесцветных тканевых структур в белой пульпе. Стоит при этом отметить соотношение размеров Т- и В- зависимых зон белой пульпы группы заражения, где Т-зависимая зона занимает значительно большую площадь белой пульпы, чем В-зависимая зона, расположенная на периферии. Заключение. Таким образом, подводя итог гистологического исследования, можно сказать, что основными обнаруженными изменениями являлись многочисленные мелкие очаги бесцветных тканевых структур во всех представленных иммунокомпетентных органах группы заражения. Однако не стоит игнорировать явную гиперплазию белой пульпы селезёнки в группе заражения и заметное сглаживание границ коркового и мозгового вещества в лимфоидных фолликулах тимуса. Список литературы: 1. Джавадов Э. Д. Геморрагический энтерит индеек. БИО. 2021; 7 (250): 16-19. 2. Громов И. Геморрагическ ий энтерит индеек: клинико-эпизоотические особенности, патоморфология, диагностика. Ветеринарное дело. 2023; (11): 14-19. 3. Красков Д. А., Джавадов Э. Д., Веретенников В. В. [и др.]. Изучение биологических свойств возбудителя геморрагического энтерита индеек. Международный вестник ветеринарии. 2024; (4):52-58. 4. Красков Д. А. Геморрагический энтерит индеек. Современные представления о болезни. Ветеринария в АПК: Материалы Международной научно-практической конференции, Новосибирск, 04–06 июня 2024 года. Новосибирск: Союзмо-локо; 2024. С. 83-85. 5. Dhama K., Gowthaman V., Karthik K., Tiwari R., Sachan S., Kumar M. A. et al. Haemorrhagic enteritis of turkeys – current knowledge. Veterinary Quarterly. 2017; 37 (1): 31-42. 6. Musa L., Rapi M., Franciosini M., Lupini C., Catelli E., Addis M., Grilli G. Turkey Hemorrhagic Enteritis (THE): A Short Overview. Pathogens. 2024. (13 (8): 663. 7. Амиракулов М. М., Арбаев К. С., Буларкиев К. У., Марасулов А. А. Возрастная морфология лимфоидных органов индеек в постнатальном онтогенезе. Вестник Кыргызского национального аграрного университета им. К.И. Скрябина. 2014; 1 (30): 63-67. Сведения об авторах: Сидоренко Карина Владимировна, кандидат ветеринарных наук, ассистент кафедры биологии, экологии и гистологии ФГБОУ ВО «Санкт-Петербургский государственный университет ветеринарной медицины»; 196084, г. Санкт-Петербург, ул. Черниговская, 5; тел.: 8-931-5346540; e-mail: capricorn26.12.94@yandex.ru. Ответственный за переписку с редакцией: Красков Дмитрий Андреевич, ассистент кафедры эпизоотологии им. В. П. Урбана ФГБОУ ВО «Санкт-Петербургский государственный университет ветеринарной медицины»; 196084, г. Санкт-Петербург, ул. Черниговская, 5; младший научный сотрудник отдела вирусологии ВНИВИП; 198412, г. Санкт-Петербург, Ломоносов, ул. Черникова, 48а, тел.: 8-921-4152266; e-mail: kraskov-00@bk.ru. Заявленный вклад авторов: Красков Д. А.: научное руководство, разработка концепции, проведение исследования, разработка методологии. Сидоренко К. В.: проведение исследования, визуализация. Конфликт интересов: авторы заявляют об отсутствии конфликта интересов.
|